LIVE ORTHODONTICS

가지런한 변화 그 이상의 만족
정확한 분석과 섬세한 계획으로 완성하는 교정 치료
라이브치과만의 차별화된 치아교정을 만나보세요

LIVE DENTAL CARE LIVE DENTAL CARE LIVE DENTAL CARE LIVE DENTAL CARE LIVE DENTAL CARE
ORTHODONTICS

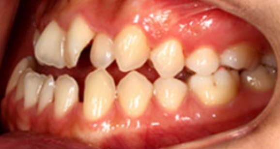
증상별 치아교정

라이브치과는 단순한 심미 개선을 넘어, 기능·발음·저작·턱관절 건강까지 고려한 맞춤형 교정을 제공합니다. 환자 증상에 따라 가장 적합한 교정 방법을 설계해 장기적 구강건강을 지켜드립니다.

  • 치열 불규칙(덧니·벌어짐) → 공간 확보 후 정밀 배열로 심미·기능 개선

  • 부정교합(앞니 돌출·반대교합·개방교합) → 성장·성인 모두 맞춤 솔루션 제공

  • 기능 문제(턱관절·발음·저작) → 교합 안정화 기반의 기능 회복 중심 교정

치아교정 필요성 예시 이미지

증상별 치아교정

환자의 증상에 맞는 맞춤형 교정 치료로 건강한 구강 환경을 만들어드립니다.
  • 돌출입 치아교정

    다양한 원인과 형태로 코 끝이나 턱 끝에 비해 입이 앞으로 튀어나온 상태

    • 돌출된 구강으로 인해 발음이 새거나 특정 발음이 어려운 분

    • 치아가 제대로 맞물리지 않아 저작이 어려운 분

    • 뚱해 보이고 부정적인 인상이 콤플렉스인 분

    • 입이 제대로 다물어지지 않아 입으로 호흡을 하시는 분

    • 돌출된 입이 콤플렉스인 분

  • 과개교합 치아교정

    상악이 하악을 덮는 정상 범위를 벗어나 과도하게 덮어버리는 상태

    • 저작 시 과도한 힘이 작용하여 턱관절에 무리가 오시는 분

    • 치아 마모가 빠르게 진행되어 치아관리가 어려우신 분

    • 상악 앞니의 입천장 속으로 하악 앞니가 닿아 염증이 발행하시는 분

    • 부정교합과 치아 시림 증상을 겪고 계신 분

    • 앞니 뒤쪽 입천장에 상처가 자주 나는 분

    • 윗니가 아랫니를 많이 덮어 아랫니가 잘 드러나지 않는 분

  • 덧니 치아교정

    맹출 공간이 부족하여 바르지 않은 자리에 비뚤게 난 치아, 대부분 송곳니에서 많이 발생하며, 앞니나 어금니에서도 발생

    • 제대로 된 양치질이 어려워 치아관리가 어려우신 분

    • 충치, 구취 발생이 빈번하신 분

    • 덧니 때문에 남들 앞에서 웃거나 말하는 게 부담스러우신 분

    • 양치질을 열심히 해도 치석, 구취 등이 발생하는 분

  • 반대교합 치아교정

    하악의 치아가 맞물리는 상악의 치아보다 바깥쪽에 위치하는 3급 부정교합 상태

    • 음식물을 제대로 씹기 어려워 소화불량 등의 소화 장애가 자주 발생하시는 분

    • 발음이 새 말 하는 것이 다소 불편하신 분

  • 개방교합 치아교정

    위 아래 앞니가 서로 닿지 않는 부정교합 상태

    • 치아가 점점 돌출되는 경향이 생기는 분

    • 음식물 섭취 시 제대로 된 저작이 힘드신 분

    • 구호흡으로 인해 구강건조증과 충치가 자주 생기시는 분

    • 입을 자연스럽게 다물지 못하시는 분

    • 앞니가 정상적인 절단 기능을 하지 못해 앞니 사용이 불편하신 분

ORTHODONTIC DEVICES

장치별 치아교정

라이브치과는 치열 상태·골격·생활 패턴·심미 요구도를 종합 분석하여
가장 적합한 교정 장치를 선택합니다.
장치별 장단점을 명확하게 안내하여 환자가 원하는 방식으로 치료를 설계합니다.

  • 다양한 교정장치 보유 – 투명·설측·브라켓 등 모든 케이스 맞춤 선택

  • 얼굴형·저작 기능 분석 기반 설계 – 단순 배열이 아닌 균형 교정

  • 풍부한 임상경험 – 케이스별 장치 최적 조합으로 치료 효율 극대화

장치별 치아교정

치아교정을 위한 다양한 장치를 제공하여 환자의 증상에 맞는 맞춤형 교정 치료로 건강한 구강 환경을 만들어드립니다.
  • 클리피씨 교정

    세라믹 재질로 제작된 클리피씨 교정은 브라켓 자체에 달려있는 슬라이딩 도어방식의 클립을 이용하여 미세철사와 고무링을 묶지 않고도 직접 고정이 가능합니다.

    • 미세철사를 사용하지 않는

    • 치아색과 유사한 세라믹 재질로 제작된

    • 자가결찰시스템 교정장치

  • 세라믹 교정

    1세대 교정장치인 메탈교정의 심미적 단점을 효과적으로 보완한 세라믹 교정은 비교적 작은 브라켓 크기로 불편함이 적고 내구성이 좋은 교정장치입니다.

    • 치아색과 유사한 세라믹 재질의

    • 브라켓으로 클리피씨 교정장치보다

    • 경제적인 비용

  • 메탈 교정

    스테인리스 재질로 제작되어 가볍고 튼튼한 메탈교정은 초창기에 개발된 교정장치로 심미성은 떨어지지만 정밀도와 효율성 면에 있어서는 우수한 교정장치입니다.

    • 다른 교정장치에 비해 경제적인 비용이며,

    • 스테인리스 재질로

    • 브라켓이 손상될 가능성이 적음

  • 콤비 교정

    비교적 눈에 잘 띄는 윗니는 설측교정 방식으로 브라켓을 부착하고 눈에 덜 띄는 아랫니는 순측교정 방식으로 브라켓을 부착하는 교정법입니다.

    • 심미성과 효율성을 동시에 충족 시켜주는 치료법

    • 외관상 브라켓이 눈에 잘 띄지 않아 심미적으로 우수

    • 교정장치로 인해 입이 튀어나와 보일 걱정이 적음

    • 결혼을 앞두거나 서비스직에 종사하는 큰 외적 부담 없이 치료

  • 설측 교정

    일반적으로 치아 겉면에 브라켓을 부착하는 것과 달리 설측교정은 치아 안쪽면에 브라켓을 부착하여 외관상 전혀 눈에 띄지 않게 교정치료가 가능합니다.

    • 외관상 눈에 띄지 않는 브라켓 교정법

    • 외관상 브라켓이 눈에 잘 띄지 않아 심미적으로 우수

    • 교정장치로 인해 입이 튀어나와 보일 걱정이 적음

    • 결혼을 앞두거나 서비스직에 종사하는 큰 외적 부담 없이 치료

  • 부분 교정

    전체교정과 달리 부분교정은 필요한 부분에만 선택적으로 브라켓을 부착하여 단기간내에 가지런한 치아배열을 완성하는 치료법입니다.

    • 필요한 부분만 선택적으로 개선하는 교정치료법

    • 필요한 부분만 선택적으로 치료하기 때문에 높은 효율성을 자랑

    • 전체교정에 비해 경제적인 비용으로 치료가 가능

    • 치료기간이 평균 6개월~8개월로 짧은편

FAQ

치아교정에 대해 궁금하신 점을 확인하세요

  • 치열이 불규칙하거나 덧니, 벌어짐이 있는 경우, 앞니 돌출, 반대교합, 개방교합 등 부정교합이 있는 경우, 턱관절 통증이나 발음, 저작 기능에 문제가 있는 경우 치아교정이 필요합니다. 또한 양치질을 열심히 해도 치석이나 구취가 발생하는 경우, 덧니 때문에 남들 앞에서 웃거나 말하는 게 부담스러운 경우에도 교정을 고려해볼 수 있습니다.

가장 빠르게 상담 받아보세요.

강남점

강남점

Gangnam

도심 속에서 누리는 병원급 전문 진료

강남점

인천점

Incheon

인천 환자들의 평생 치과 파트너