AESTHETIC DENTISTRY

심미치과 치료
라이브치과만의 아름다운 미소와 건강한 치아를 동시에 만족시키는 치료를 경험하세요

LIVE DENTAL CARE LIVE DENTAL CARE LIVE DENTAL CARE LIVE DENTAL CARE LIVE DENTAL CARE
LAMINATE VENEER

라미네이트

라이브치과는 단순히 치아를 덮는 것이 아니라,
환자 개인의 얼굴형·입술 라인·미소 라인을 정밀 분석하여
가장 자연스럽고 아름다운 라미네이트 치료를 설계합니다.

  • 오차없이 정밀하게 완벽 밀착

  • 자연스러운 미소 디자인

  • 태어날 때 치아처럼 튼튼한 보철물

개인맞춤 치아디자인으로 이상적인 치료 효과를 낼 수 있습니다.

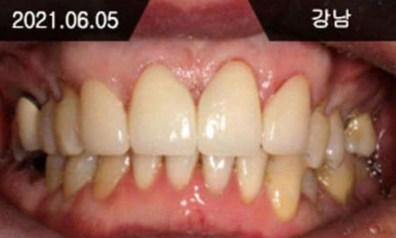
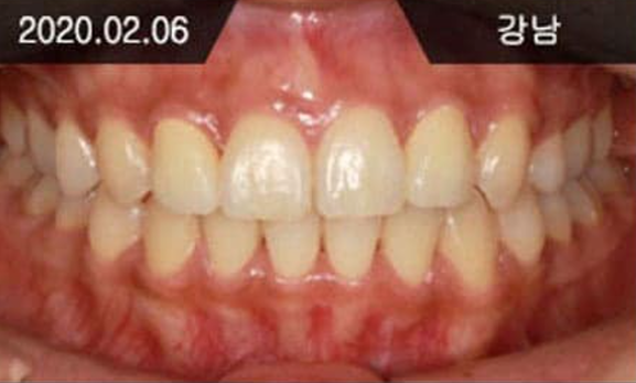
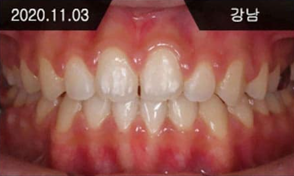
BEFORE & AFTER

  • BEFORE
  • AFTER
  • BEFORE
  • AFTER
  • BEFORE
  • AFTER
  • BEFORE
  • AFTER
  • 위 사진은 동일 조건에서 촬영 되었습니다.
  • 모든 치료에는 부작용이 발생할 수 있습니다.
  • 본 사진은 환자분의 동의 하에 게재되었습니다.
  • 위 사진의 저작권은 라이브치과 병원에 있으며 무단 인용이나 도용, 재배포를 금합니다.

최소한의 삭제로 최대의 효과

라미네이트는 치아 표면의 작은 조각을 제거하여 치아의 표면을 보강하는 치료 방법입니다.

  • 정밀진단 및 치료계획 수립

    • 환자 개인의 구강 상태를 정밀하게 분석

    • 얼굴형·입술 라인·미소 라인을 고려한 맞춤 치료 계획

    • 최적의 치료 결과를 위한 상세한 진단 및 설계

  • 자연치아 삭제 없이 인상채득 진행

    • 디지털 구강 스캐너를 활용한 정밀한 3D 인상 채득

    • 자연치아를 최소한으로 삭제하는 비침습적 치료

    • 환자 편의성과 안전성을 높이는 디지털 진료 시스템

  • 환자 개개인에게 맞는 치아 디자인 제작

    • 환자 개인의 얼굴형과 미소 라인에 맞춘 맞춤형 디자인

    • 자체 기공소에서 정밀하게 제작되는 고품질 보철물

    • 자연스러운 색상과 형태로 완성되는 개인 맞춤 라미네이트

  • 완성된 보철물을 자연치아와 결합

    • 정밀하게 제작된 보철물을 자연치아와 완벽하게 결합

    • 자연스러운 색상과 형태로 구분이 불가능한 완성도

    • 오래 지속되는 아름다운 미소와 기능적 만족도

라미네이트
이런 분들에게 추천합니다

  • 정밀검진 및 상담

    치아 사이가 벌어지거나
    삐뚤어지신 분

  • 정밀검진 및 상담

    치아 형태를 아름답게
    만들고 싶은 분

  • 정밀검진 및 상담

    직업상
    치아 노출이 잦으신 분

  • 정밀검진 및 상담

    사고로 치아가 깨지신 분

One Clinic for Every Generation

치아 변색의 원인부터 개선까지

시간이 지남에 따라 다양한 요인으로 치아 색은 점차 어두워질 수 있습니다.
전문적인 치아미백 치료는 이러한 변색을 근본적으로 개선하여, 맑고 건강한 인상을 되찾을 수 있게 해줍니다.

라이브치과 미백
이런분들에게 추천합니다

  • 선천적으로 치아가 어둡거나
    노랗게 보이는 분

  • 담배, 커피 등으로
    치아가 변색된 경우

  • 약물로 인해
    치아가 변색된 경우

  • 한단계 더 밝은
    치아를 원하시는 분

  • 중요한 면접이나 결혼식 등
    행사를 앞두신 분

  • 대면 활동이 많은
    서비스업계 종사사이신 분

나에게 맞는 치아미백
라이브치과병원에서 확인해보세요

치아의 변색 원인과 개인별 구강 상태를 분석하여
효과적인 맞춤형 미백 솔루션을 제공합니다.

치료 전
치료 후

치아 변색의 원인

치아 색이 어두워지는 이유는 단순히 나이 때문만이 아닙니다. 음식, 흡연 등 외부 요인과 노화, 외상, 신경치료, 약물 등 내부 요인이 복합적으로 작용하여 변색이 발생할 수 있습니다.

  • 음식·음료로 인한 착색

    색소가 강한 커피, 홍차, 녹차, 레드와인, 콜라, 카레 등의 반복 섭취로 치아 표면에 색소가 침착되어 점점 누렇게 또는 갈색으로 변합니다.

  • 흡연(니코틴·타르)

    담배의 니코틴과 타르는 치아에 강하게 들러붙어 황색·갈색 변색을 유발하며 장기간 누적될수록 깊숙이 스며들어 제거가 어려워집니다.

  • 노화로 인한 법랑질 변화

    나이가 들수록 법랑질이 얇아지고 내부 상아질의 진한 색이 비쳐 치아가 점차 누렇고 어둡게 보이는 자연스러운 변색이 발생합니다.

  • 외상·질환·약물에 의한 내부 변색

    치아 외상, 신경치료 후 변화, 항생제(테트라사이클린) 복용, 불소 과다 노출 등으로 치아 내부 구조가 변해 회색·갈색 등의 깊은 변색이 생길 수 있습니다.

치아색상 체크리스트

아래 색상 가이드를 참고하여 내 치아 색깔을 확인해보세요

C4
A4
C3
B4
A35
B3
D3
A3
D4
C2
C1
A2
D2
B2
A1
B1
미백 치료 필요 필요 없음

라이브치과 미백 프로세스

치아 색이 어두워지는 이유는 단순히 나이 때문만이 아닙니다. 음식, 흡연 등 외부 요인과 노화, 외상, 신경치료, 약물 등 내부 요인이 복합적으로 작용하여 변색이 발생할 수 있습니다.

  • 라이브치과병원

    검진 및 스케일링

  • 라이브치과병원

    잇몸 보호제 도포

  • 라이브치과병원

    치아미백 약제 도포

  • 라이브치과병원

    치아미백 광선 조사

치아미백 주의사항

  • 01

    음식·음료 및 흡연 주의

    치아미백 후 최소 48시간 정도 음식, 음료 섭취와 흡연을 최소화하여 미백 효과가 지속하도록 해주세요.

  • 02

    불소 함유 치약 주의

    양치 시 불소가 많이 들어있는 치약 사용은 삼가시기 바랍니다. 불소는 미백제 약품에 중화작용을 일으킬 수 있습니다.

  • 03

    치아 표면 찌꺼기

    미백 직후 치아 표면에 미백 약품 찌꺼기가 남아 꺼끌꺼끌한 느낌이 날 수 있으나 7일 이내에 모두 자연스럽게 없어지므로 안심하셔도 됩니다.

  • 04

    시린 증상

    치아미백 후 1–3일 정도 시릴 수 있습니다. 심하게 시릴 경우, 미백을 잠시 중단하시고 치과에 전화주시기를 바랍니다.

  • 05

    잇몸 탈색

    미백제로 인해 잇몸이 하얗게 탈색될 수 있으나 12시간 이내에 보통 없어지므로 안심하셔도 됩니다.

  • 06

    정기적인 관리

    미백 효과를 지속적으로 유지하기 위해 주기적인 관리가 필요합니다. 정기적인 치과 방문을 권장해 드립니다.

가장 빠르게 상담 받아보세요.

강남점

강남점

Gangnam

도심 속에서 누리는 병원급 전문 진료

강남점

인천점

Incheon

인천 환자들의 평생 치과 파트너